
Prevention
There are no cures for the three most common bone and joint conditions: osteoarthritis (OA), rheumatoid arthritis (RA) and osteoporosis (OP). McCaig Institute researchers are studying ways to prevent bone and joint diseases or injuries from occurring before irreversible damage occurs.

Osteoporotic hip fractures: Understanding your risk
McCaig Institute members Drs. Emma Billington and Steven Boyd are using high-resolution peripheral quantitative computed tomography (HR-pQCT) to analyze the quality and microarchitecture of bone to better understand who might be at risk of a hip fracture.

Avoiding injury after a pandemic
Dr. Nicholas Mohtadi, MD, is worried about what COVID-19 could do to our bones and joints. Mohtadi, an orthopedic surgeon, member of the McCaig Institute for Bone and Joint Health and medical director of UCalgary’s Sport Medicine Centre, isn’t so worried about our musculoskeletal health during the pandemic. It’s what could happen afterward that has him concerned.

Vitamin D: How much is too much of a good thing?
UCalgary researchers find taking high doses of Vitamin D may result in a decrease in bone density AND pose a safety risk
As health professionals and tennis enthusiasts who love to work out at the gym, Heather and Michael Giuffre have always been interested in making diet and lifestyle choices that will keep them strong and healthy. When they heard the University of Calgary was looking for volunteers for a study looking at the effects of different doses of vitamin D supplements on bone health, they signed-up right away.

The obesity epidemic is taking a toll on our bones and joints
Being overweight is one of the biggest risk factors for developing osteoarthritis (OA). Carrying too much weight causes joint instability, muscle weakness and increases the load on bones and joints. OA prevalence across Canada has increased in correlation with an aging population and rising rates of obesity.
A team of McCaig researchers, comprised of a nutrition expert, a pioneer in biomechanics and an inflammation scientist, are tackling the problem.

Getting the jump on basketball injuries
The clock is winding down and a player executes a perfect jump shot, sending the ball into the hoop and winning the game with seconds to spare.
This familiar scene takes place in countless basketball games across North America. But another all-too-familiar scene that spectators don’t see is the icing of knee and Achilles injuries that occurs after the game.
Two McCaig Institute researchers are looking at ways to prevent these injuries from occurring.

Injury prevention programs in youth soccer
Sport is the leading cause of injury in youth, accounting for more than 30 per cent of all injuries. A new study by University of Calgary researchers published in the British Journal of Sports Medicine found that not only does a neuromuscular training warm-up program prevent injury in youth soccer, it also saves millions of dollars in health care costs.

Prevention strategies reduce injury rates in youth sport
Dr. Carolyn Emery, PhD, leads research in youth sport injury prevention through identifying risk factors for injury and designing and evaluating strategies to reduce injury rates and prevent long-term consequences of injury.

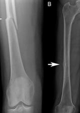
Researcher studies rare fractures in post-menopausal women
Researchers in the Faculty of Kinesiology and the McCaig Institute for Bone and Joint Health are studying the cause of these fatigue fractures, known as atypical femoral fractures that occur in the thighbone, to help prevent this injury.